専門治療・手術
脳腫瘍手術(良性)
髄膜腫や神経鞘腫に代表される良性の脳腫瘍です。小さい腫瘍がたまたまみつかることも少なくありません。脳腫瘍という病名に驚く患者さんも多いのですが、症状がない小さな腫瘍は治療が不要なこともあります。
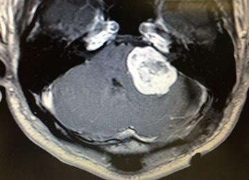
代表疾患『髄膜腫』
脳を包む硬膜という頭蓋骨のすぐ内側にある硬い膜から発生する腫瘍です。ほとんどのケースは良性ですが、稀に悪性の場合もあります。中高年に多く、男性よりも女性に多い腫瘍です。ゆっくりと何年もかけて多きくなる腫瘍なので、小さい場合には経過をみます。大きくなって周囲の脳や神経を圧迫する場合には、手術が必要です。
急速に大きくなる場合や、症状が強い場合は悪性髄膜腫に注意が必要なので、はやめに手術を行うことになります。何個も多発することもあるので、注意が必要な腫瘍です。
有効な内科治療(薬物治療)はありません。定位放射線は腫瘍の増大を抑える効果があります。ご高齢な方や体力のない方には放射線治療を選択する場合もあります。

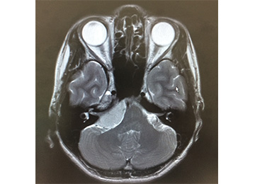
右小脳橋角部(右耳の奥)の腫瘍
脳を腫瘍が圧迫している
代表疾患『神経鞘腫(聴神経腫瘍、三叉神経鞘腫)』
聴神経腫瘍は耳の奥のめまいの神経からでる良性の腫瘍です。気づかない間にめまいを生じていたり、軽度の難聴を生じていることがあります。急激に大きくなることは稀なので、小さい場合は治療はせずに経過をみます。脳や周囲の神経を圧迫する腫瘍、急激に増大する場合には手術で切除します。この腫瘍の治療では、顔面神経(顔を動かす神経)、蝸牛神経(聴力の神経)、のどを動かす神経、顔の感覚の神経が関係します。周囲の神経を障害しないように丁寧に顕微鏡や内視鏡を用いて切除していきます。特に顔面神経と蝸牛神経は電気刺激で麻酔中であっても神経が障害されていないか常時確認しながら手術をするので、安全に切除できます。
三叉神経という顔の感覚の神経からも同じ種類の腫瘍がみつかります。同じく周囲の神経を温存しながら丁寧に摘出します。

当院の治療の特色
- 術前に脳の立体画像を作成して脳の地図を作り、手術シミュレーションを行います
- シミュレーションに使用した画像を手術ナビゲーションシステムに応用し、安全に病変を取り除きます。
- 脳神経の電気刺激モニタリングを行います。麻酔で眠っている患者さんに特別な電気刺激をいれて、手術中に脳や神経が障害されていないか眠っていても常に見張りながら手術を行なっています。
- 手術顕微鏡を用いて丁寧に病変部を取り除きます。ただし、顕微鏡で見えない部位は神経内視鏡を用いて安全に腫瘍を取り除きます。
- 手術中に病理医に急ぎ細胞の良悪性を確認してもらい、治療を行なっています。
- 手術前に腫瘍を栄養する血管をカテーテル治療で閉塞させます。髄膜腫は良く出血する腫瘍ですが、ほとんどの例で輸血せずに治療できますし、手術時間が短くてすみます。
- 超高齢者や体力のない方では、定位放射線治療が一般的です。しかし、定位放射線では治療できない方には、腫瘍塞栓術を積極的に行なっています。腫瘍内部が塞栓術で壊死するため、周囲脳や神経の圧迫による症状が軽減します。
脳腫瘍手術(悪性)
脳原発の腫瘍としては、神経膠腫(グリオーマ)が代表的な腫瘍です。神経膠腫にはいくつもの種類があり、とても進行が速い悪性度の高いものから、経過観察可能なものまであります。
脳の悪性腫瘍としては、全身の他臓器のガンからの転移性脳腫瘍、特殊な腫瘍として悪性リンパ腫などもよくみかける腫瘍です。当院では、それぞれの疾患に対する標準的治療を行うとともに、大学やその他の施設と連携して高度な治療にも取り組んでいます。
代表疾患『悪性神経膠腫(膠芽腫)』
脳原発悪性腫瘍の代表的な病気です。大変な病気ですが、当院は安全に腫瘍を摘出するための手術設備(神経ナビゲーションシステム、術中超音波ナビゲーション、5ALAナビゲーション手術、術中神経機能モニタリングなど)が整っています。
また、後療法(放射線治療、化学療法、免疫療法)が必要な病気ですが、放射線治療については当院と連携する施設で、病態に応じた治療を受けることができます。
代表疾患『転移性脳腫瘍』
肺癌や乳癌など脳以外の部位にできた腫瘍が、血液に運ばれて脳に腫瘍ができてしまった状態です。大きな腫瘍ができてしまった場合や、原発巣が不明の場合などの特殊な状態では手術をすることもありますが、多くの場合は放射線治療を行うことになります。
いくつも腫瘍ができてしまっていても、定位放射線(ガンマナイフ、IMRT;強度変調放射線治療)などを行って治すことができます。当院の関連施設や連携施設での治療(数日)を受けていただきます。
代表疾患『悪性リンパ腫(脳原発)』
まだわからないことも多い腫瘍ですが、高齢者に多い病気です。手術で治すことはできませんが、診断を確定するために頭蓋骨に小さい穴をあけて組織を採取する必要があります。病気が確定したら、化学療法と放射線治療をうけていただきます。最初は入院が必要ですが、落ち着いたら外来で経過をみていきます。
再発して通常の治療に抵抗性の場合には、高度な治療を研究している癌専門病院や大学病院へご紹介いたします。
認知症の治療と手術
認知症の診断と治療
神経内科医と協力して一般的な認知症の診断治療はもとより、稀な疾患の診断治療も行っています。また、通常の検査ではまだ診断できない初期の認知症の方には脳血流検査を行い、脳が痩せてくる前に診断して治療を開始することができます。認知症がご心配な方、御家族の病状が心配な方は一度脳神経外科外来を受診してください。

当院は脳神経外科と神経内科が緊密に協力して診療にあたっていますので、どちらの科を受診しても同様の診療を受けることができます。
認知症の手術
認知症の患者さんの中には手術で治すことができる方もいます。
「もう歳だから物忘れがひどくても仕方がない」
「だんだんと活動性が低下してなにもしなくなったが歳だからね」
「歩きがどんどんわるくなってきた」
「よく転ぶようになった、足を引きずるようになった、小刻みな歩きになった」
「トイレがわからなくなった」「間に合わなくなった」
といった症状でお困りの方は一度脳神経外科外来でご相談ください。
検査の結果、脳に水が溜まる「水頭症」という病気であった場合には、手術で治る可能性があります。「水頭症」とは、原因は様々ですが頭の中に水がたまる病気です。症状は、認知症と似たような物忘れ、歩きにくさが特徴的です。30分ほどの手術で治すことができます。
- 軽い物忘れから始まり、だんだんと悪化していきます
- 小刻みな歩きになり、転びやすくなります
- 尿意がわかりにくくなったり、我慢できなくなります。
このような症状がでてきたら、どうぞお気軽に脳神経外科外来にご相談ください。検査の結果、手術が有効なグループに入った患者さんには腰と腹にチューブをいれる手術(LPシャント)をおすすめします。
その他の治療
機能的手術(三叉神経痛、顔面けいれん等)
脳の血管、その他の病気が脳の神経を圧迫しておこる病気です。三叉神経痛は、内服治療が有効ですが、薬があわなかったり、量がふえて薬での治療が難しい方は手術で治すことができます。顔面けいれんは、ボトックスの注射でコントロールできます。しかし度々注射をしたくない方は、これも手術で治すことができます。全身麻酔で2時間ほどの手術になります。治療を希望される方は脳神経外科外来でご相談ください。
ボトックスによる治療は、毎週木曜日に行っています。
その他の治療
痙縮に対するボトックス治療
脳疾患後で肘がのびない、手がこわばって開きにくいといった症状に対しては、ボトックスの注射で症状を軽減することができます。まずは外来でご相談ください。
痙縮に対するバクロフェン持続髄注治療(ITB)
脳の障害が重く腕や足の関節が屈曲してのびない場合などに行います。主に介護量を減らすことが目的となります。病状によっては歩きにくさを改善したり、着替えやすくなることもありますのでまずは外来でご相談ください。
脊髄刺激療法(SCS)
神経性の難治性の頭痛に対する治療です。内服治療でコントロールが難しい痛みに対して有効な場合があります。お困りの方は一度外来でご相談ください。 足の血流が悪い方の疼痛管理、血流改善に有効な例もあります。
脳脊髄液減少症
当院では、カテーテルを使ったブラッドパッチを行っています。通常のブラッドパッチに比べると、1回で治療を完了することができるため、負担が少なくとても有効な治療方法です。
施設紹介
- 脳神経センター病床(50床)、ICU20床
- Stroke Care Unit (SCU) 8床
- ハイブリッド手術室(術中血管撮影装置)
- 脳血管撮影室(philips flat panel biplane):24時間稼働
- MRI(1.5T)3台:緊急用は24時間稼働
- CT3台:緊急用は24時間稼働
- SPECT装置;脳血流検査、DAT scan、MIBGシンチなど
- ガンマナイフ(関連施設)
- ナビゲーションシステム
- 術中超音波、術中電気生理モニタリング
- 頸動脈超音波検査(専門スタッフ)
