膝スポーツ・人工関節センター

リハビリステーションの紹介
膝スポーツセンター
スポーツ関連疾患の診察をおこなっております。特に膝関節疾患として半月板損傷、前十字靱帯損傷(ACL損傷)、後十字靱帯損傷(PCL損傷)外傷性軟骨損傷、離断性骨軟骨炎(OCD)、膝蓋骨脱臼(MPFL損傷)などの治療を中心におこなっております。まずは保存療法から行いますが必要に応じて手術を行います。半月板損傷はできるだけAll-insideで縫合をおこないます。ACL再建術は可能な限り遺残靱帯(レムナント)を残して手術を行います。(1.参照)離断性骨軟骨炎、外傷性軟骨損傷に対しては自家培養軟骨移植(ジャック)を用いて治療を行います。(2.参照)
参照
人工関節センター
主に変形性膝関節症(OA)、特発性大腿骨内顆骨壊死(SONK)、関節リウマチ(RA)の膝疾患の治療をおこなっております。変形性膝関節症の診断は徒手検査、レントゲン、MRIなどで行い、まずは運動療法、関節注射などの保存療法をおこないます。(関節リウマチに対してはNSAIDs、抗リウマチ薬、生物学的製剤などの治療を優先します。)症状が改善しないときは手術療法を行いますが可能な限り膝関節温存手術(関節鏡手術、高位脛骨骨切り術)を行います。高位脛骨骨切り術(HTO)の適応にない時は人工膝関節単顆置換術(UKA)、人工膝関節全置換術(TKA)をおこないます。
当院でおこなった高位脛骨骨切り術

手術前 
手術直後
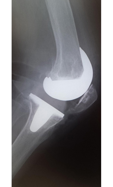
当院でおこなった人工膝関節全置換術(TKA)

手術前 
手術前

手術直後 
手術直後 
側面像
本院で行う人工関節全置換術の特長
- 手術後の疼痛コントロールを麻酔科の先生と協力して行います。本院は抗凝固薬(バイアスピリン、ワーファリン、プラビックスなど)を内服している患者様にもおこなえるように硬膜外ブロックではなく持続神経ブロックをおこないます。(坐骨神経、大腿神経ブロック)また、関節カクテル注射を手術中におこなうことにより手術後の痛みはかなり緩和されます。
- ターニケットという血止めのバンドをなるべく使用しないで手術をおこないます。(セメント固定のときの10分だけ行います)手術中にターニケットを使用しないメリットは、静脈血栓塞栓症(DVT)の頻度を減少させること、手術直前に抗生剤が届くこと、および手術中に出血点を確認しながら確実に止血操作ができることが挙げられます。確実に止血を行うためにAquamantys バイポーラシステムを使用しています。止血をしっかりおこなうことにより術後のドレーンはいれていません。(ドレーンをいれないことにより感染のリスクが低下しリハビリがスムーズにおこうことができます。)
- エム・アイ・エス (Minimally Invasive Surgery 最小侵襲手術)
MISは軟部組織(筋肉・皮膚など)への負担をなるべくすくなくする手術手技のことです。当センターではMIS手術による人工関節全置換術(TKA)を行うことにより皮膚切開を小さくし、術後疼痛、手術侵襲を軽減。リハビリが早くすすむことによって社会復帰を早めています。皮膚切開は8cmから10cmです。 - 本院は循環器内科、心臓血管外科が有名な総合病院です。術後にTKAのリスクの一つである深部静脈血栓症の発症、持病の悪化(内科的疾患の悪化)などが発生した時は内科の先生などと協力し治療を行います。本院は抗凝固薬(バイアスピリン、ワーファリン、プラビックスなど)を内服した患者様も手術を行います。バイアスピリンは継続したまま、ワーファリンはヘパリンの点滴へ変更して手術を行います。
- 新東京病院バイオフリーの手術室(スーパークリーンルーム)で手術を行います。手術中はTotal Shield (Surgical-Helmet-System, Zimmer-Biomet社)、ジンマーデブリッドシステム(ジェット洗浄 Zimmer-Biomet社)を使用し人工関節のリスクである感染に十分注意し手術を行います。
人工関節手術前から退院後までのながれ
- 外来(松戸駅前、新東京クリニック)を受診していただき診察(徒手検査、レントゲン、MRIなど)を受けていただきます。保存療法が良いか、手術が良いかを説明させていただきます。
- 手術が必要であれば心臓、肝臓、腎臓、深部静脈血栓症(DVT)、糖尿病などの内科的な疾患がないか全身の精査をさせていただきます。(内科的疾患がある時は内科の先生の診察を受診していただきます。)
- 内科的に手術が可能であれば入院の予約をし、後日の手術に備えて自己血輸血のために貯血(400cc)をおこないます。
- 手術の1日前、もしくは2日前に入院していただき、再度本人と家族に手術の必要性、手術のリスク、リスクの対処法などついて説明します。
- 入院は約2週間から3週間です。手術時間は約1時間30分です。入院のリハビリに続き退院後もリハビリを外来で行います。
人工関節手術前から退院後までのながれ
人工関節の手術は保険が適応されます。入院の申し込み時に高額療養費制度の説明があります。事前に申請しておけば入院費の支払いが自己負担限度額までになります。



